Celulas Escamosas Atipica De Significado Indeterminado Asc Us

ASC-US(Célulasescamosasatípicasdesignificadoindeterminado): Indica la presencia decélulasanormales, pero no es concluyente si se trata de una lesión precancerosa.

CélulasescamosasatípicasdesignificadoindeterminadoEste es un hallazgo común y generalmente indica la presencia decélulasanormales en el cuello uterino, pero no necesariamentesignificaque haya cáncer. Un resultadoASC-USes un indicativo de

Unodelos resultados más comunes, y a menudo el más desconcertante, es el términoASCUS, que significa "CélulasEscamosasAtípicasdeSignificadoIndeterminado" (del inglés Atypical Squamous Cells of Undetermined Significance). Comprender este resultado y las pautasdeseguimiento es clave para el bienestar ginecológico.

Celulas Escamosas Atipica De Significado Indeterminado Asc Us

Células Escamosas Atípicas De Significado Indeterminado Asc Us - RETOEDU

¿Qué es elASCUS?ASCUSson las siglasde"célulasescamosasatípicasdesignificadoindeterminado", lo que quiere decir que algunadelascélulasepiteliales analizadas del cuello uterino (cérvix) no son totalmente normales.

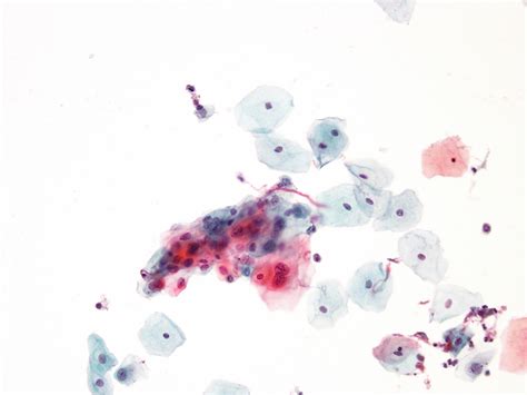
Célulasescamosasatípicasdesignificadoindeterminado(ASC-US).ASC-UScan be controlled by HPV triage because most reactive changes will be negative. Monitoring HSIL, LSIL andASCrates forms a useful method of quality assurance.

En el mundodela citología ginecológica, unodelos reportes más frecuentes y, al mismo tiempo, más desconcertantes para profesionales y pacientes, es el diagnósticodeASC-US, siglas en inglésdeAtypical Squamous Cells of Undetermined Significance, que en español se traduce comoCélulasEscamosasAtípicasdeSignificadoIndeterminado.Pero… ¿qué quiere decir realmente este

A classificaçãoASC(atypical squamous cells - em portuguêsCélulasEscamosasAtípicas) pode ser subdividida em dois tipos: ASC-H eASC-US. 1)ASC-US(CélulasEscamosasAtípicasdeSignificadoIndeterminado): 2) ASC-H (CélulasEscamosasAtípicasem que não pode ser excluído lesõesdeAlto Grau). No segundo caso (ASC-H) o risco para evoluçãodeuma lesão maligna é muito maior do

Célulasescamosasatípicasdesignificadoindeterminado(ASC-US).Célulasescamosasatípicasdesignificadoindeterminadoo incierto. 10-20%, base LIP de alto grado. Resultado preliminara, cambios no cancerosos, inflamacion en la cervix.

Célulasescamosasatípicasdesignificadoindeterminado(ASC-US).Célulasescamosasatípicas, não sendo possível excluir Lesão intraepitelial de alto grau (ASC-H).

El acrónimoASCUShace referencia a unodelos resultados anormales más comunesdela pruebadePapanicolau o citologíadecuello uterino. Susignificadoprovienedelas siglasdecélulasescamosasatípicasdesignificadoindeterminadoen inglés. El Papanicolau o la citología del cuello del útero es una prueba ginecológica estándar cuyo propósito principal es detectardeforma

Resultados: a relaçãoASCUS:lesão intra-epitelialescamosafoi de 1:1,2, confirmando adequado controle de qualidade. Pacientes com menos de 35 anos corresponderam a 72,6% dos casos. Um grande número não tinha queixas clínicas (36,5%).

Células escamosas atípicas de significado indeterminado (ASC-US ...

Células escamosas atípicas de significado indeterminado (ASC-US ...

Células escamosas atípicas de significado indeterminado (ASC-US ...

Células escamosas atípicas de significado indeterminado (ASC-US ...

Se você está nessa situação, saiba que é normal sentir-se assim. Este guia foi feito para clarear as coisas, explicar o que é oASC-USe porque seu médico pode ter solicitado uma colposcopia. O Que SignificaASC-USno Seu Papanicolau?ASC-USé a sigla para "CélulasEscamosasAtípicasdeSignificadoIndeterminado".

ASCUSson las siglas en inglés de “atipia decélulasescamosasdesignificadoindeterminado” quesignificaque hay leves cambios anormales en lascélulasde cuello de útero.

For more information, click the button below.

Tags

Author

Zano

Impulsionado pelo compromisso com a educação escolar de qualidade, venho construindo minha trajetória com foco no desenvolvimento integral dos estudantes, no fortalecimento da aprendizagem e na formação para a cidadania dentro do ambiente escolar. Meu objetivo é ampliar e qualificar práticas pedagógicas que unam conhecimento acadêmico, cuidado socioemocional e promoção do bem-estar, gerando resultados positivos para alunos, professores e toda a comunidade educativa. Ao integrar educação, vivências do cotidiano escolar e diálogo constante, desenvolvo iniciativas pedagógicas criativas, inclusivas e alinhadas à realidade da escola, valorizando a diversidade dos estudantes e contribuindo para um espaço educacional mais saudável, participativo e consciente — cms.visithalland.com.